VetMED Emergency & Specialty Veterinary Hospital

TPLO is currently the most common surgery performed to treat canine cranial cruciate ligament (CCL or ACL) injuries. Now in existence for over 30 years, the surgery has proven to be an extremely effective long-term solution for addressing cruciate ligament injury in dogs and returning them to athletic function. Initially created for large-breed, active dogs, TPLO has proven equally effective in small and medium-sized breeds.
One of the important functions of the cruciate ligament is to prevent forward and backward sliding of the tibia, known as drawer motion or tibial thrust. Because a dog walks on four limbs, the normal angle of the stifle joint (knee) places the CCL under constant load. Because of the constant strain, this ligament is very susceptible to injury. Rupture of this ligament can lead to debilitating lameness and progressive osteoarthritis.
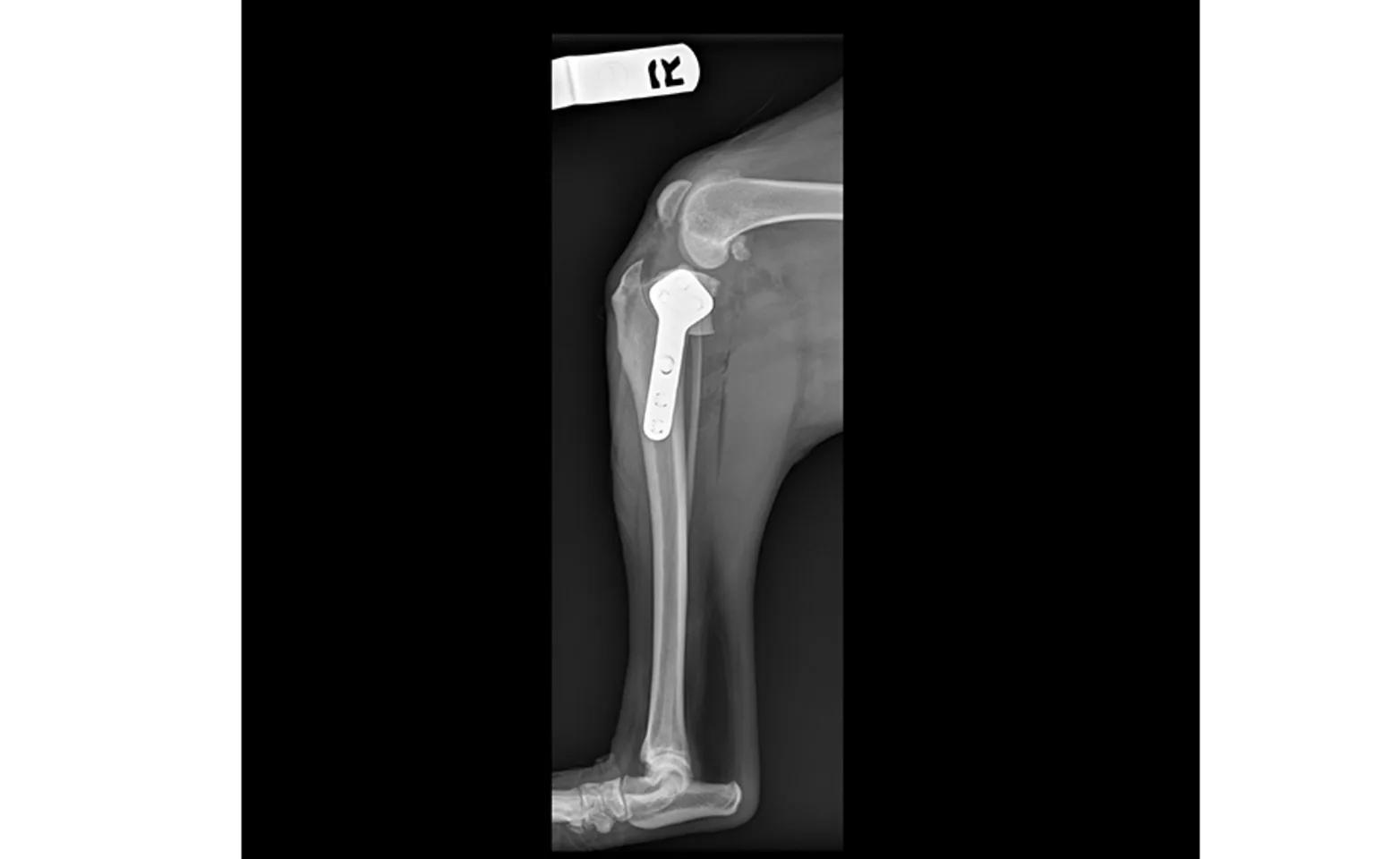
The TPLO surgery is performed by making a circular cut in the tibia and rotating the joint surface of the tibia so the forward and backward sliding, or tibial thrust, is neutralized. By changing the biomechanics of the joint in this fashion, the need for a CCL has been eliminated. The ligament is not replaced, as this has been shown to easily fail in canine patients. The cut in the bone is stabilized with a bone plate and screws. It is recommended that TPLO surgery always be performed by a specialized board-certified surgeon.

Benefits of TPLO Surgery
At VetMED, the majority of TPLOs are performed with arthroscopic assistance. This means smaller incisions, enhanced ability to visualize the structures in the joint (ligaments, meniscus, and other cartilage surfaces), and the potential for a faster recovery. TPLO surgery, compared to other techniques (lateral fabellar suture/extracapsular stabilization, tibial tuberosity advancement, tight rope stabilization), offers the following:
More rapid recovery
Better range of motion of the joint
Development of less arthritis
Faster return to athletic or working activity
Recovery
The first three months following TPLO surgery are a critical period for recovery and rehabilitation. With rest, paired with the certain exercises introduced at the proper time, you can assist your dog’s healing and improve his or her road to rehabilitation.

